
患者:冯先生
年龄:45岁
性别:男
牙齿症状:牙齿几乎全口脱落,佩戴假牙过敏。
治疗方法:治疗口腔疾病,植入种植牙。
案例详情
冯先生自己经营着一家娱乐会所,这些年因为严重的口腔疾病,牙齿眼看着一个个“下岗“了。冯先生也曾尝试着做过假牙,可每次不是过敏就是难受,十分痛苦。而且假牙毕竟是假的,冯先生面对美食食不知味,一度消瘦到不足50公斤。
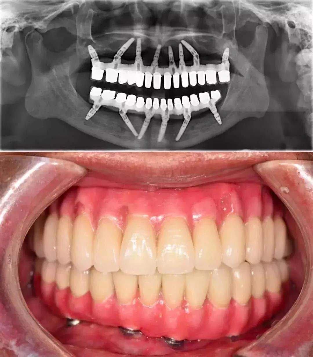
治疗过程
冯先生在和朋友闲聊中,得知朋友的牙也是假牙,是目前最火的种植牙。看着朋友如同真牙的种植牙,冯先生心动了。他当下就向朋友了解了在哪家医院做的种植牙,种植牙效果、种植牙会不会和以前的假牙一样不舒服等等。越聊冯先生越觉得靠谱。
第二天冯先生就来到了山西盛大齿科医院。冯先生说,自己见惯了大场面,可是在做检查时还是忍不住紧张。经过详细的常规牙周洁治、血液检查、口腔检查,当医生告诉冯先生暂时不适合做种植牙时,冯先生很失望。
接下来医生告诉冯先生,种植牙手术不论是对患者还是操作医生都有很高要求。冯先生在做种植牙前,先要治疗口腔疾病。冯先生连连点头,表示完全配合。随后,口腔检查、制作种植牙手术导板、备制种植窝、备制螺纹,山西盛大齿科医院专家都认真征求了冯先生意见。直到植入种植体、缝合创口、带上牙冠。
治疗效果
冯先生说尽管整个种植过程时间不短,但是现在看着自己一口整齐的牙齿,再次体会到食物的鲜美,一切都是值得的。